Pulmonary fibrosis is a severe progressive pathological condition in many respiratory diseases. Idiopathic pulmonary fibrosis (IPF) is the most common with high morbidity and mortality. There is currently no cure and the two most commonly used drugs for treatment simply reduce progression but do not result in regression. Axis Bio offer the bleomycin-induced lung fibrosis model in both mice and rats to study efficacy in both acute or chronic disease.

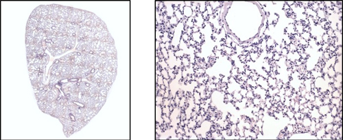
Non induced

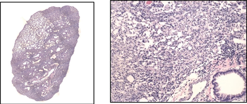
Bleomycin-induced Vehicle

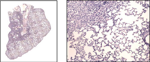
Bleomycin-induced
Pirfenidrone 100mg/kg QD

Non-Induced vs Bleo-induced vehicle ## p=0.0031
Bleo-induced vehicle vs Bleo-induced Pirfenidone * p=0.0377